Tuesday, April 14, 2026
HomeArthritisUW Shoulder and Elbow Academy: Is this subscapularis reconstructable?

UW Shoulder and Elbow Academy: Is this subscapularis reconstructable?


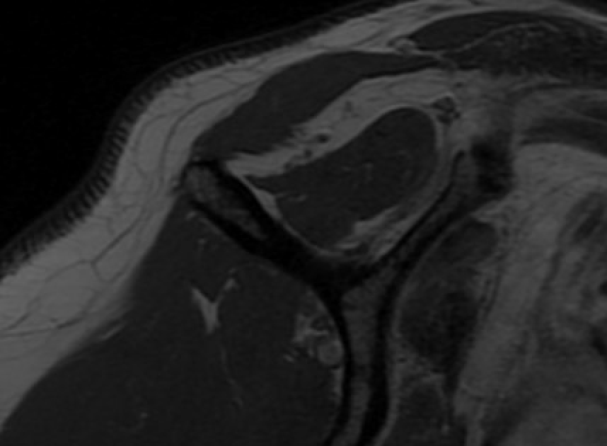
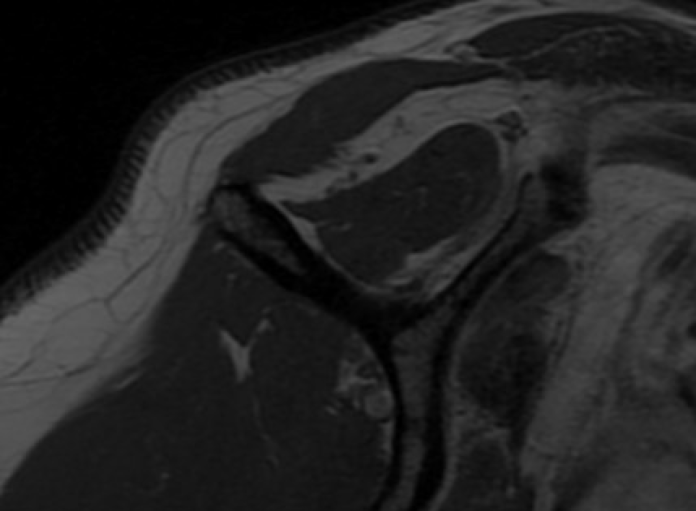
A 64 year old female presented with chronic right shoulder dysfunction and pain after an injury playing tennis in 2022, where she hit an overhead ball and felt a pop in her shoulder. She then had a recurrent injury in 2025 with a similar mechanism playing pickleball and was diagnosed with a rotator cuff tear. She had participated in PT and got some functionality back but remained weak, and then had a fall biking which further reduced the function of her shoulder. She complained of anterior shoulder pain and an inability to perform overhead activity due to weakness. Her exam revealed full active motion, but substantial weakness of belly press and lumbar lift-off. Passive external rotation was to 90 degrees. There was a palpable defect in the subscapularis. Plain radiographs were normal. MRI images are shown below.







In spite of our lack of optimism regarding the reconstructability of this chronic tear, the patient asked for an exploration and repair or reconstruction if possible.

At surgery the upper half of the subscapularis was detached of poor quality. With care to protect the axillary nerve, dissection of the lower half of the subscapularis was carried out  freeing it from the inferior capsule, and releasing the anterior capsule from the glenoid.

After this 360 degree release, excellent quality (> 1 cm thick) tendon with subjacent capsule could be easily approximated to the entire footprint at the lesser tuberosity. Six FiberWire sutures were passed through the lesser tuberosity and the tendon. The long head tendon of the bicep was incorporated in the repair. After securing the tendon, the shoulder externally rotated to 30 degrees with a firm endpoint. 


I thought you might find this interesting.

Building Back

Marsh Wren reconstructing nest

Montlake Fill

2010


Here are some videos that are of shoulder interest
Shoulder arthritis – what you need to know (see this link).
How to x-ray the shoulder (see this link).
The ream and run procedure (see this link)
The total shoulder arthroplasty (see this link)
The cuff tear arthropathy arthroplasty (see this link).
The reverse total shoulder arthroplasty (see this link).
The smooth and move procedure for irreparable rotator cuff tears (see this link)
Shoulder rehabilitation exercises (see this link). 
RELATED ARTICLES

LEAVE A REPLY

Please enter your comment!
Please enter your name here

Most Popular

Recent Comments