Management of glenohumeral arthritis in young and active patients with arthroplasty is a hot topic because of more difficult shoulder pathology, high patient expectations, and, in the case of anatomic total shoulder arthroplasty, long-term risks of glenoid component wear, loosening, osteolysis, and challenging revision surgery.
These measurements were compared between radiographs obtained immediately after surgery and at followup, the difference reflecting the amount of medialization: minimal/mild (≤5mm), moderate (between >5mm and ≤10mm) and substantial (>10mm).
Included patients had an average age of 59 years, 92% were male, 81% had primary osteoarthritis.
The mean preoperative SST score of 5.3 out of 12 improved to 9.9 out of 12 postoperatively (P <.001). 81.5% of the patients were clinically significantly improved (i.e. surpassed the minimal clinically important difference for the SST).
Comparable radiographs of 113 shoulders with a mean radiographic follow-up of 6.7 years were analyzed. Minimal/mild glenoid wear was noted in 92 (81%) patients, moderate wear in 15 (13%), and severe wear in 6 (5%). The mean total glenoid wear was 2.9 ± 4.3 mm. Based on linear modeling, the glenoid wear rate was calculated at 0.3mm per year. The majority of glenoid wear occurred in the first four years after the ream and run arthroplasty and plateaued thereafter.

Multivariable analysis revealed that younger patients were at greater risk for moderate or severe glenoid wear.
Comparing clinical outcomes among patients with minimal/mild glenoid wear to those with moderate/severe wear, no differences were noted in SST scores, change in SST scores, VAS scores, or change in VAS scores.
Are the data different for pyrocarbon hemiarthroplasty?
Recently there has been interest in the use of a pyrocarbon humeral head rather than a chrome cobalt humeral head in the hope that this bearing surface would have a lower rate of glenoid wear.

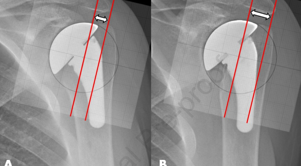
At 2-4 years, progression of glenoid erosion was noted in 6 patients (16%),
compared with immediate postoperative radiographs
(1 from none to mild and 5 from mild to moderate).When comparing erosion at 2-4 years to that at 5-9 years, 10 shoulders exhibited progression of glenoid erosion by 1 grade (n = 9) or 2 grades (n = 1). Stratifying patients by glenoid
erosion revealed no significant differences in clinical outcome at first follow-up or second
follow-up.
The authors of B2 and B3 glenoid osteoarthirtis: outcomes of corrective and concentric (C2) reaming of the glenoid combined with pyrocarbon hemiarthroplasty examined 41 shoulders with osteoarthritis and B2 and B3 glenoid pathoanatomy having corrective reaming of the glenoid and a pyrocarbon humeral hemiarthroplasty. The authors did not correlate clinical outcome with erosion rate. At an average follow up of 4.5 years , CT scan measurements showed that the average total medialization was 3.7 mm (2.0 mm due to reaming and 1.7 mm due to erosion). Note that the average rate of erosion was 1.7 mm / 4.5 years or 0.38 mm/year. This is the same rate of wear as noted in the study above using the chrome cobalt humeral head.
Conclusion:
The available literature does not provide evidence that
(1) the rate of glenoid erosion is different for pyrocarbon humeral heads in comparison to cobalt chrome humeral heads
(2) wear rate is clinically significantly correlated with clinical outcome
We can conclude that the use of humeral hemiarthroplasty combined with reaming (that either accepts or attempts to correct glenoid version) is a topic of great interest, especially for patients who wish to avoid the risks and limitations of a glenoid component. Comparison of outcomes between cobalt chrome and alternate bearing surfaces (pyrocarbon or ceramic) will require thoughtful clinical research that controls for the many confounding variables.
What difference does the head make?

White headed woodpecker
Sleeping Lady
Leavenworth Washington
May 2025
